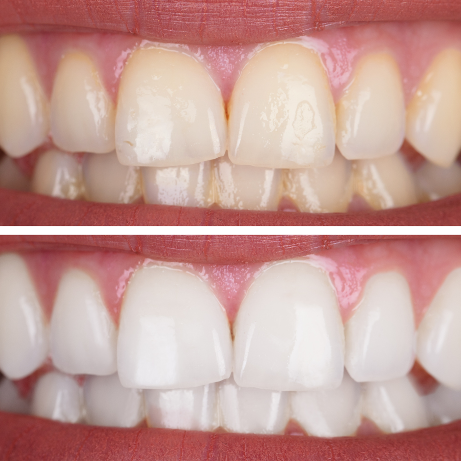
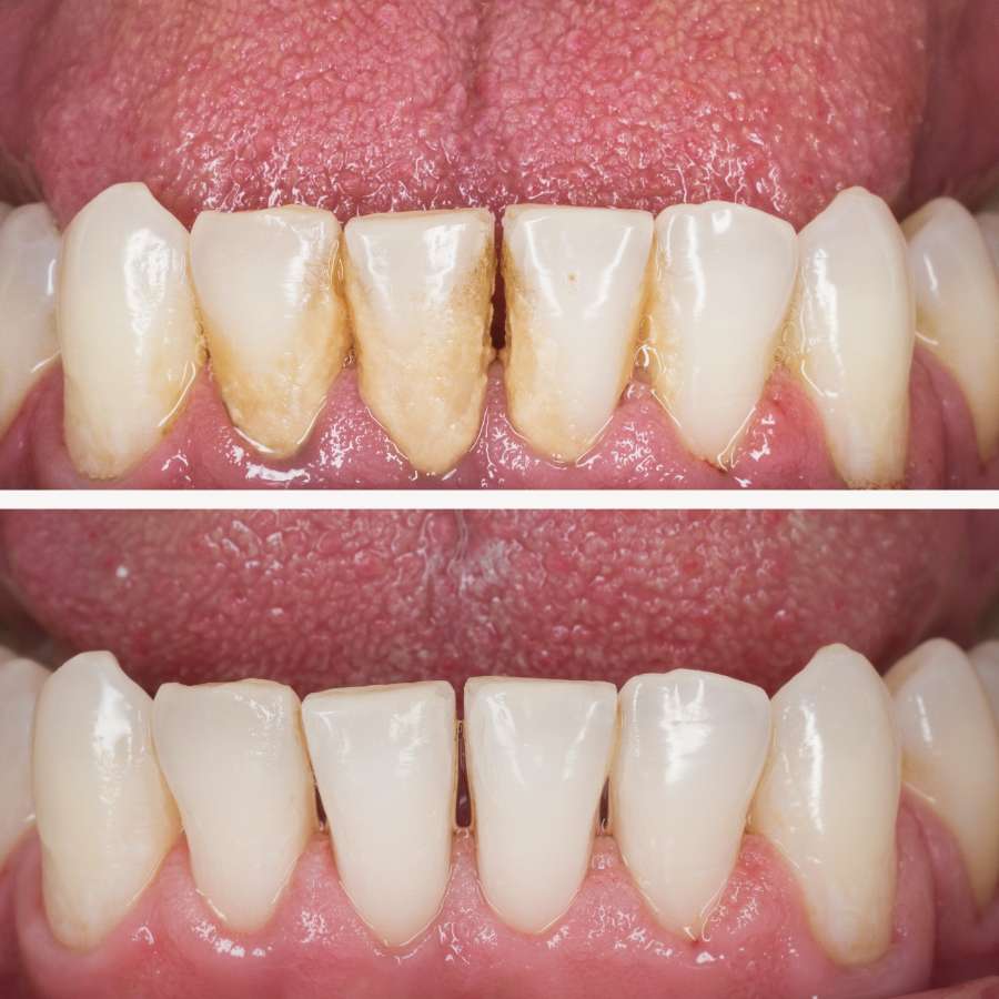
Casos/Testemunhos



Transformações Reais: Os Casos que Inspiram!
Na Self Care Clinic, estamos comprometidos em proporcionar resultados excepcionais para cada um dos nossos pacientes. Aqui, poderá ver as nossas transformações incríveis, desde tratamentos dentários a tratamentos de estética, ajudando os nossos pacientes a alcançar a aparência desejada e a confiança renovada.
Cada caso é um testemunho do nosso compromisso com a excelência e o cuidado personalizado, conte connosco!



Sempre tive medo de ir ao dentista, mas minha experiência na Self Care Clinic mudou isso. A equipa foi atenciosa e cuidadosa, explicando cada etapa do tratamento. Fiz um implante dentário com resultados além das expectativas. Agora, posso sorrir com confiança novamente. Recomendo a Self Care Clinic a todos que procuram um atendimento de alta qualidade!
Maria Santos
Depois de anos a tentar vários tratamentos estéticos sem sucesso, finalmente encontrei na Self Care Clinic – um lugar onde me sinto cuidada. A equipa é qualificada e usa técnicas modernas que fazem a diferença. Fiz um tratamento de rejuvenescimento facial e a minha pele nunca esteve tão radiante. Estou muito feliz com os resultados!
Ana Martins
A Dra. Carolina é simplesmente extraordinária! Desde o primeiro atendimento, senti-me acolhido e seguro. Explicou todo o tratamento com cuidado, sempre preocupado com o meu conforto. O profissionalismo fizeram toda a diferença na minha experiência na Self Care Clinic. Hoje sorrio com mais confiança!
João Costa
Resultados dos Tratamentos







